El enemigo silencioso (caries interproximal) que se esconde entre tus dientes… y que solo la tecnología puede revelar 🦷🔍**
La sonrisa humana es una obra de arte: única, personal, irrepetible. Cada diente es una pieza vital que trabaja en armonía para masticar, hablar, sonreír, mostrar emociones y comunicar sin palabras. Sin embargo, hay enemigos diminutos, invisibles y silenciosos que pueden poner en riesgo esa armonía sin que tú te des cuenta.
Uno de ellos —y uno de los más peligrosos— es la caries interproximal, una lesión dental que nace en el lugar donde casi nadie mira:
👉 entre los dientes, en ese espacio estrecho, oscuro y difícil de limpiar.
Es la caries que no avisa, que no duele al inicio, que no se ve en el espejo y que solo puede detectarse con radiografías y diagnóstico profesional.
Pero cuando finalmente se manifiesta… suele ser demasiado tarde.
En LUAN lo sabemos. Por eso, nuestra filosofía se basa en detectar antes de que duela, prevenir antes de reparar y proteger tu sonrisa antes de que el daño avance.
Hoy te explicaremos TODO sobre esta caries silenciosa para que no te tome por sorpresa.
✨ 1. ¿Qué es realmente una caries interproximal?
La caries interproximal es una lesión que se desarrolla entre un diente y otro, justo en la zona donde los dientes se tocan o quedan muy cerca.
¿Por qué ahí?
Porque es un área…
✔️ difícil de ver
✔️ complicada de limpiar
✔️ perfecta para que se acumule placa
✔️ propensa a retener restos de comida
✔️ húmeda, estrecha y sin ventilación
En otras palabras, es el lugar perfecto para que las bacterias digan:
💬 “Aquí está perfecto para vivir”.
Así empieza un proceso lento, silencioso y progresivo que va debilitando el esmalte dental sin darte la menor señal.

🦠 2. El origen microscópico: ¿cómo inicia esta caries que no se ve?
Para entender esta caries necesitamos ir al nivel microscópico, donde el enemigo es casi invisible:
👉 Paso 1: La fiesta bacteriana comienza
Entre los dientes, se acumula placa. Esta placa contiene millones de bacterias que aman los azúcares y carbohidratos.
👉 Paso 2: Producción de ácido
Cada vez que comes, estas bacterias transforman los azúcares en ácido.
Ese ácido es un veneno para tu esmalte.
👉 Paso 3: Desmineralización del esmalte
El esmalte empieza a perder minerales.
El daño inicia por dentro, no por fuera.
👉 Paso 4: Avance profundo y silencioso
Cuando la caries entra a la dentina, su avance se acelera muchísimo más rápido.
👉 Paso 5: Aparición de síntomas… demasiado tarde
Solo hasta que la lesión es profunda aparece dolor o sensibilidad.
Y para ese momento, el daño es grande.
👀 3. ¿Por qué esta caries es invisible a simple vista?
La caries interproximal es experta en esconderse. Literalmente.
📌 No aparece como mancha negra.
📌 No se ve desde el frente.
📌 No duele al principio.
📌 No cambia el color del diente de forma evidente.
Es como tener un pequeño incendio dentro de una pared: nada se nota desde afuera…
hasta que la estructura ya está comprometida. 🏚️🔥
Por eso, miles de personas creen “estar bien”…
cuando realmente tienen una caries avanzando sin control.
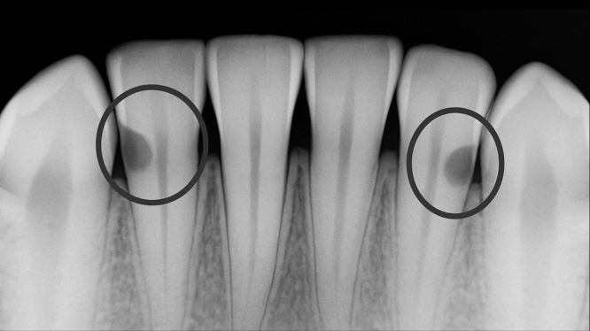
📸 4. La verdad que solo la tecnología revela: radiografías digitales
Aquí viene la parte más importante:
👉 No hay forma humana de ver una caries interproximal sin radiografías.
Ni el espejo dental, ni la luz, ni el ojo más entrenado.
💡 La radiografía es la única herramienta que permite ver lo que está pasando entre los dientes.
En LUAN utilizamos radiografía digital, la cual ofrece:
✔️ imágenes ultra nítidas
✔️ menor radiación
✔️ diagnóstico instantáneo
✔️ ampliación detallada
✔️ precisión en profundidad y extensión
✔️ detección temprana antes de que duela
Es como ponerle “rayos X” a tu sonrisa para revelar cualquier amenaza oculta.

🚨 5. ¿Qué pasa si no se detecta a tiempo? (Spoiler: nada bueno)
Una caries interproximal que avanza sin control puede causar:
❌ Resinas grandes
❌ Fracturas dentales
❌ Dolor intenso
❌ Sensibilidad aguda
❌ Infecciones
❌ Inflamación en las encías
❌ Necesidad de tratamientos complejos como coronas
❌ Daño irreversible en la estructura dental
❌ En casos severos, extracción
Todo eso por algo que no se ve.
Por eso insistimos tanto en el diagnóstico preventivo.
La prevención no es un lujo, es protección real.
🔬 6. ¿Cómo detectamos una caries interproximal en LUAN?
Nuestro proceso es altamente preciso y profesional:
🌀 1. Evaluación clínica
Revisamos la estética, integridad, forma y salud general de tus dientes.
🌀 2. Radiografías digitales
Para detectar lesiones ocultas entre los dientes.
🌀 3. Diagnóstico personalizado
Determinamos el tamaño, profundidad y tipo de tratamiento ideal.
🌀 4. Tratamientos conservadores
Siempre buscamos lo menos invasivo, lo más estético, y lo más duradero.
🌀 5. Monitoreo y seguimiento
Guardamos fotografías clínicas y radiografías para comparar tu evolución.
En LUAN no solo tratamos: documentamos, analizamos y personalizamos.
Es odontología con enfoque inteligente.
💠 7. ¿Cómo se trata una caries interproximal?
Dependiendo de qué tan avanzada esté, podemos recurrir a:
🔹 Resinas estéticas (lo más común)
Restauraciones pequeñas, precisas y con forma natural.
🔹 Incrustaciones
Cuando la caries es más profunda pero aún conservable.
🔹 Coronas
En casos severos que comprometen la estructura del diente.
🔹 Tratamientos preventivos
Sellado de puntos de contacto, fluor, resinas preventivas y educación.
La meta es salvar la mayor cantidad de estructura dental posible.
En LUAN no hacemos tratamientos innecesarios: hacemos justo lo que tu sonrisa necesita.

🧼 8. ¿Cómo prevenir esta caries silenciosa?
Aquí vienen los hábitos que realmente funcionan:
✨ Usa hilo dental TODOS los días
Sin hilo, no hay prevención.
El hilo limpia justo esa zona donde nacen estas caries.
✨ No te saltes tus limpiezas semestrales
La limpieza profesional elimina la placa incrustada entre los dientes.
✨ Acude a tus revisiones aunque “no sientas nada”
El mejor momento para diagnosticar… es cuando aún no hay dolor.
✨ Radiografías preventivas
Te permiten detectar lesiones 10 veces más chicas de lo que se ve a simple vista.
✨ Reduce alimentos pegajosos sin higiene posterior
Gomitas, caramelos, dátiles, pan dulce… se quedan atrapados ahí.
✨ Comunicación constante con tu ortodoncista
En LUAN vigilamos tu salud dental durante todo el tratamiento.
🧠 9. Lo que muy pocas personas saben sobre la caries interproximal (y deberías conocer)
💡 1. Puede existir más de una al mismo tiempo
A veces encontramos 2, 3 o hasta 5 lesiones ocultas entre distintos dientes.
💡 2. Es más rápida en la dentina que en el esmalte
Por eso puede agravarse sin que te des cuenta.
💡 3. No duele hasta que está muy avanzada
El nervio dental no reacciona en etapas tempranas.
💡 4. Puede formarse incluso en personas que “se cepillan bien”
Porque el cepillo NO entra entre los dientes.
💡 5. Los pacientes con ortodoncia requieren más vigilancia
Brackets, alineadores o movimientos dentales modifican los puntos de contacto.
💡 6. Las radiografías detectan hasta lesiones del tamaño de una semilla
Algo imposible de ver con la vista humana.
💙 10. ¿Por qué LUAN es el mejor lugar para diagnosticar este tipo de caries?
Porque no solo tratamos dientes.
Cuidamos personas.
Nuestro enfoque de diagnóstico combina:
🩵 Tecnología digital avanzada
🩵 Radiografías de alta resolución
🩵 Fotografía clínica
🩵 Revisiones profesionales
🩵 Planes detallados y personalizados
🩵 Honestidad, claridad y comunicación
🩵 Tratamientos conservadores y estéticos
En LUAN vemos lo que otros no ven.
Y cuidamos tu sonrisa como si fuera la nuestra.
🌟 11. Lo que no ves… sí importa
La caries interproximal es una enfermedad silenciosa, discreta e invisible.
Puede estar ahí ahora mismo, avanzando, sin que tú lo notes.
Pero con diagnóstico digital, revisiones constantes y hábitos adecuados, puedes proteger tu sonrisa toda la vida.
La verdadera prevención no es esperar al dolor…
es detectar a tiempo lo que no se ve.
🚀 Agenda hoy tu valoración en LUAN
¿Quieres asegurarte de que no tienes caries ocultas entre tus dientes?
¿Buscas un diagnóstico completo, moderno y detallado con tecnología de punta?
¿Deseas proteger tu sonrisa antes de que algo avance sin avisar?
✨ Agenda tu cita hoy mismo en LUAN.
🦷 Diagnóstico digital
🩵 Imágenes de alta resolución
✨ Tratamientos conservadores
💬 Explicación clara, profesional y honesta
📩 Escríbenos para reservar tu valoración.
💙 En LUAN, cuidamos tu sonrisa incluso en los lugares donde tú no puedes ver.






